АД – Артериальное давление
ИТАР – Интенсивная терапия, анестезиология и реанимация
КТ – Компьютерная томография
ОЦК – Объем циркулирующей крови
УЗИ – Ультразвуковое исследование
АД – Артериальное давление
ИТАР – Интенсивная терапия, анестезиология и реанимация
КТ – Компьютерная томография
ОЦК – Объем циркулирующей крови
УЗИ – Ультразвуковое исследование
Аспленизация – полное удаление ткани селезенки
Гемоперитонеум – скопление крови в брюшинной полости
Изолированная травма – возникновение изолированного травматического повреждения в одной анатомической области (сегменте)
Оментоспленорафия – ушивание селезенки с применением большого сальника
Политравма – тяжелая травма с синдромом взаимного отягощения и развитием травматической болезни
Постспленэктомический гипоспленизм – патологическое состояние, вызванное полной аспленизацией
Сочетанная травма – возникновение двух и более травматических очагов (изолированных или множественных) в разных анатомических областях (сегментах)
Спленэктомия – операция по удалению селезенки
Травма – нарушение целости и функций ткани органа в результате внешнего воздействия
Фрагментация селезенки – разрыв органа на части
Травма селезенки – нарушение целости и функций тканей селезенки в результате внешнего воздействия [1].
Травма селезенки закрытая – механическая травма органа, не сопровождающаяся нарушением целостности наружных покровов тела [1].
Закрытые повреждения селезенки у детей возникают в результате воздействия внешней силы на переднюю брюшную стенку и нижнюю половину грудной клетки. Воздействие внешней силы на орган может быть кратковременным или длительным в результате обвалов при сдавлении его между стенками брюшной полости. Степень повреждения органа зависит от силы удара, времени воздействия, состояния брюшного пресса и функционального его состояния. При тяжелых транспортных травмах, когда сила удара или инерции оказывается значительной, повреждения селезенки часто носят сочетанный характер. Наиболее частый тип травмы у детей-пешеходов – наезд транспортного средства, когда наблюдаются множественные удары автомобилем, включая бампер, капот и ветровое стекло. В момент удара пострадавшему передается энергия движения с первоначальной скоростью автомобиля, в связи с чем он получает дополнительное повреждение от ударов о дорогу. Травма ребенка в качестве пассажира возможна непосредственно от прямого удара в живот частями автомобиля при его прямом столкновении с различными объектами или из-за силы инерции при резком торможении. Любое столкновение автомобиля сопровождается внезапным изменением его скорости, Которое непосредственно передается на пассажира, фиксированного ремнями безопасности. При падениях с высоты механизм повреждения селезенки связан с действием силы инерции или противоудара. В момент соприкосновения тела ребенка с землей орган продолжает по инерции движение в направлении падения [2,3]. Имеют значение анатомические особенности ребенка: за счет большого объема внутренних органов живот у детей выпуклый, мягкий. Развитие мышечной системы живота и грудной клетки занимает время, поэтому области живота и таза остаются мало защищенными в случае травмы. Небольшая мышечная масса ребенка обладает низкой способностью поглощать энергию внешнего воздействия. Кости и ребра более податливы, эластичны и не обеспечивают достаточной защиты внутренних органов [2]. Разрывы органа проходят в поперечном направлении в силу сегментарного расположения внутриорганных сосудов. Так как сегментарные ветви селезеночной артерии входят в орган независимо, разделенные фрагменты остаются жизнеспособными. Поскольку разрыв паренхимы находится между двумя сегментарными сосудами, остающимися неповрежденными, кровотечение прекращается спонтанно [4].
В структуре повреждений органов брюшной полости у детей травма селезенки занимает первое место и составляет от 48% до 77% [5,6,7]. Среди механизмов закрытой травмы селезенки преобладают дорожно-транспортные происшествия (23-25%), падения с высоты (10-23%) и удары в живот (20%) [2,6,8].
S36.0 – травма селезенки
Классификация, предложенная А.Г. Пугачевым и Е.И. Финкельсоном (1981) [2]:
I степень:
I а – ушиб органа (единичные или множественные кровоизлияния в капсуле и паренхиме, подкапсульные гематомы, кровоизлияния в области ворот органа);
I б – изолированные разрывы капсулы (единичные или множественные);
II степень: разрывы капсулы и паренхимы (единичные или множественные);
III степень: фрагментация органа (разрыв на части, отрыв полюсов или отдельных участков органа, отрыв органа от сосудистой ножки);
IV степень: размозжение органа.
В соответствии с представленной классификацией, наиболее частым классом повреждения селезенки у детей были единичные или множественные разрывы капсулы и паренхимы, или 1 и 2 степени (57,3%) [2].
В 1988 году W.L.Buntain предложил классификацию повреждений селезенки у детей, основанную на данных компьютерной томографии [3]:
Классификация повреждений селезенки у детей (Buntain W.L, 1988).
Класс | Описание |
|---|---|
I | Ограниченные разрывы (трещина) капсулы или подкапсульная гематома. Без значительных повреждений паренхимы |
II | Единичные или множественные разрывы капсулы или паренхимы, поперечные, которые не распространяются к воротам, может быть гематома |
III | Глубокие разрывы, единичные или множественные, распространяющиеся к воротам и вовлекающие сегментарные сосуды |
IV | Размозжение селезенки, или ее фрагментация, или отрыв от сосудов в воротах |
Подкласс | Описание |
|---|---|
А | Без сочетанных абдоминальных повреждений |
В | Сочетанные абдоминальные повреждения В1 – паренхиматозных органов В2 – полых органов |
С | Сочетанные экстраабдоминальные повреждения |
Выявлена положительная сильная корреляция между предложенной классификацией и шкалой тяжести травмы (ISS). Точность классификации составила 97%, специфичность-100%, чувствительность-93%. В качестве референсного метода использовались данные, полученные во время операции [3].
В настоящее время общепризнанной является классификация повреждений селезенки, принятая Американской ассоциацией хирургов травмы (AAST,1991) [9].
Шкала повреждений селезенки AAST (Moore F.A. et al., 1991) [9]
Характер повреждений | Класс | Схема | Описание повреждений |
|---|---|---|---|
Гематома
Разрыв | I
|
| Субкапсулярная, ненарастающая, <10 % площади поверхности органа
Разрыв капсулы, некровоточащий, <1 см глубиной |
Гематома
Разрыв | II
|
| Субкапсулярная, ненарастающая, 10–50 % поверхности Интрапаренхиматозная, ненарастающая, <2 см в диаметре
Разрыв капсулы, активное кровотечение, 1–3 см глубиной, без повреждения трабекулярных сосудов |
Гематома
Разрыв | III
|
| Субкапсулярная, >50 % поверхности или нарастающая Интрапаренхиматозная, >2 см в диаметре или нарастающая
Прорыв субкапсулярной гематомы с активным кровотечением |
Гематома
Разрыв | IV
|
| >3 см глубиной или вовлекающий трабекулярные сосуды
Прорыв интрапаренхиматозной гематомы с активным кровотечением |
Разрыв
Сосудистые повреждения | V |
| Разрыв, вовлекающий сегментарные сосуды или сосуды ворот селезенки, с массивной деваскуляризацией (>25 %)
Полностью размозженная селезенка
Повреждение сосудов ворот с деваскуляризацией селезенки |
Мировое общество неотложных хирургов (World Society of Emergency Surgary: WSES) предложило классификацию повреждений селезенки в соответствии с классификацией AAST и гемодинамическим статусом пациента [10]. Выделены четыре класса повреждений селезенки:
Легкие повреждения:
- класс I включает пациентов со стабильной гемодинамикой и повреждениями, соответствующими 1-2 степени по классификации AAST
Средняя тяжесть повреждения:
- класс II включает пациентов со стабильной гемодинамикой и повреждениями, соответствующими 3 степени по классификации AAST, проникающими повреждениями;
- класс III включает пациентов со стабильной гемодинамикой, с 4-5 степенью повреждения селезенки по классификации AAST и проникающими повреждениями.
Тяжелые повреждения:
- класс IV включает пациентов с нестабильной гемодинамикой, 1-5 степенью повреждения селезенки по классификации AAST и проникающими повреждениями.
Данные литературы свидетельствуют о том, что чрескапсульные поперечные разрывы селезенки у детей встречаются наиболее часто от 54 до 80% [2,6,8]. К редким типам повреждений селезенки у детей можно отнести: продольный разрыв (1%), отрыв от сосудистой ножки (0,9%), ушиб (3,9%), фрагментация (9,4%), двухфазные или отсроченные разрывы (0,9%) [2,6,8]. Для детей типичны необширные повреждения селезенки: у более 80% детей площадь патологических травматических изменений, рассчитанная при КТ-исследовании, составляет 30%. Обширные повреждения с площадью 50% и более встречаются только у 2,4 % детей [2,6].
При травме селезенки состояние ребенка может быть тяжелым и степень тяжести будет зависеть от класса повреждения органа и объема кровопотери. В большинстве случаев больные поступают в клинику в тяжелом состоянии с явлениями шока и симптомами кровопотери. При осмотре пациента, необходимо обратить внимание на его положение и наличие кровоподтеков в левом боку. Объективным свидетельством повреждения селезенки является вынужденное положение – на левом боку с приведенными к животу бедрами. Боль усиливается при перемене положения тела пострадавшего. При этом он стремится занять прежнее положение – симптом Б.С.Розанова («Ваньки-встаньки»). Такая реакция наблюдается при попытке уложить ребенка сидящего. Симптом объясняется висцеральным компонентом боли за счет раздражения диафрагмальной брюшины. Возможно наличие кровоподтеков в левом боку (симптом Грея-Тернера) или в области пупка вследствие пропитывания кровью тканей брюшной стенки (симптом Коллена).
Важную информацию можно получить при пальпации и перкуссии живота. Боль, локализованная в верхнем квадранте живота, иррадиирует в левую половину груди или левое плечо – симптом Кера, который наблюдается в 15-75% случаев. Можно отметить вздутие живота (симптом Гейнеке-Лежара), которое патогенетически связано с дилятацией кишечных петель в ответ на их раздражение. Напряжение мышц передней брюшной стенки носит преимущественно локальный характер и определяется в левом подреберье. Болезненность при пальпации живота определяется у большинства пациентов. Перкуссия позволяет обнаружить скопление крови в боковых каналах брюшной полости. Одним из признаков наличия свободной крови является смещение перкуторной тупости в боковых каналах при изменении положения тела пациента (симптом Питтса-Беленса-Томайера).
Уровень убедительности рекомендаций С (уровень достоверности доказательств 5)
Уровень убедительности рекомендаций С (уровень достоверности доказательств 5)
Комментарий. Обычно пациенты предъявляют жалобы на боль в животе, которая носит генерализованный характер. Висцеральный компонент боли во многом определяется раздражением диафрагмальной брюшины. Этим определяется иррадиация боли в левую половину грудной клетки и в левое плечо. Особенно выраженная болевая импульсация наблюдается при перемене положения ребенка. Возможны жалобы на тошноту и рвоту.
Уровень убедительности рекомендаций С (уровень достоверности доказательств 5)
Комментарии. При травме селезенки состояние может быть тяжелым и степень тяжести будет зависеть от класса повреждения органа и объема кровопотери.
Уровень убедительности рекомендаций С (уровень достоверности доказательств 5)
Комментарий. Частота пульса и величина кровяного давления являются важными характеристиками гемодинамики. Нормальное систолическое давление у детей в зависимости от возраста можно рассчитать по формуле: 90 мм.рт.ст. + возраст (в годах) х 2 [10].
Физиологические показатели кровяного давления у детей различных возрастов (Pediatric Cardiology. 3 rd ed. Philadelphia,1972) [3].
Возраст | Среднее систолическое давление | Среднее диастолическое давление |
|---|---|---|
Новорожденные | 80±16 | 46±16 |
6 мес. – 1 год | 89±29 | 60±10 |
1–2 года | 96±30 | 66±25 |
2–3 года | 99±25 | 64±25 |
3–4 года | 100±25 | 67±23 |
4 года–5 лет | 99±20 | 65±20 |
5-6 лет | 94±14 | 55±9 |
6-7 лет | 100±15 | 56±8 |
7-8 лет | 102±15 | 56±8 |
8-9 лет | 105±16 | 57±9 |
9-10 лет | 107±16 | 57±9 |
10-11 лет | 111±17 | 58±10 |
11-12 лет | 113±18 | 59±10 |
12-13 лет | 115±19 | 59±10 |
13-14 лет | 118±19 | 60±10 |
Возрастные показатели частоты пульса представлены в таблице
Возрастные показатели частоты пульса (Nelson W.B. Textbook of Pediatrics. 14 th ed. Philadelphia, 1992) [3]
Возраст | Нижняя граница нормы | Среднее | Верхняя граница нормы |
|---|---|---|---|
Новорожденные | 70 | 120 | 170 |
1 – 22 мес. | 80 | 120 | 160 |
2 года | 80 | 110 | 130 |
4 года | 80 | 100 | 120 |
6 лет | 75 | 100 | 115 |
8 лет | 70 | 90 | 110 |
10 лет | 70 | 90 | 110 |
Уровень убедительности рекомендаций С (уровень достоверности доказательств 4)
Комментарий. Индекс шока определяется как отношение частоты пульса к систолическому кровяному давлению. Величина индекса шока зависит от возраста ребенка: >1.22 для детей в возрасте 4-6 лет, > 1 – 6-12 лет, > 0.9 - 13 лет и старше. Повышение индекса шока коррелирует с тяжестью травмы, необходимостью в гемотрансфузии в первые 24 часа после травмы, более длительной госпитализацией в палате реанимации и интенсивной терапии и с более тяжелой степенью повреждения селезенки [11,12].
Уровень убедительности рекомендаций С (уровень достоверности доказательств 5)
Комментарий. Объективным свидетельством повреждения селезенки является вынужденное положение – на левом боку с приведенными к животу бедрами. Висцеральная болевая импульсация усиливается при перемене положения тела пострадавшего. При этом он стремится занять прежнее положение – симптом Б.С.Розанова (Ваньки-встаньки). Такая реакция наблюдается при попытке уложить ребенка сидящего. Симптом объясняется висцеральным компонентом боли за счет раздражения диафрагмальной брюшины. Возможно наличие кровоподтеков в левом боку (симптом Грея Тернера) или в области пупка вследствие пропитывания кровью тканей брюшной стенки (симптом Коллена).
Уровень убедительности рекомендаций С (уровень достоверности доказательств 5)
Комментарий. Боль, локализованная в верхнем квадранте живота, иррадиирует в левую половину груди или левое плечо - симптом Кера, который наблюдается в 15-75% случаев [2]. Можно отметить вздутие живота (симптом Гейнеке-Лежара), которое патогенетически связано с дилятацией кишечных петель в ответ на их раздражение. Напряжение мышц передней брюшной стенки носит преимущественно локальный характер и определяется в левом подреберье. Болезненность при пальпации живота определяется у большинства пациентов. Перкуссия позволяет обнаружить скопление крови в боковых каналах брюшной полости. Одним из признаков наличия свободной крови является смещение перкуторной тупости в боковых каналах при изменении положения тела пациента (симптом Питтса-Беленса-Томайера).
Уровень убедительности рекомендаций С (уровень достоверности доказательств 4)
Комментарий. Изначально не наблюдается существенных различий по количеству эритроцитов, содержанию Hb и величины Ht, что говорит о том, что указанные показатели не являются ранними и специфическими признаками, что следует иметь в виду при выборе тактики лечения.
Уровень убедительности рекомендаций С (уровень достоверности доказательств 5)
Комментарий. Исследование позволяет выявить косвенные признаки закрытой травмы селезенки: высокое стояние левого купола диафрагмы, ателектаз нижней доли левого легкого и гидроторакс слева. В положении лежа на спине можно выявить косвенные признаки травмы селезенки по наличию свободной крови в брюшной полости: расширение или медиальное смещение желудка, определяемое по газовому пузырю, медиальное и нижнее смещение левой ободочной кишки, смещение мочевого пузыря вверх (скапливается кровь в полости малого таза), плавающие петли тонкой кишки, вдавление левого изгиба ободочной кишки [3].
Уровень убедительности рекомендаций С (уровень достоверности доказательств 5)
Комментарий. Рациональная программа исследования включает в себя ультразвуковое исследование органов брюшной полости (комплексное) непосредственно при поступлении больного, через 8–12, 16–24 и 36–48 часов после травмы, с последующим контрольным обследованием на 7-е, 14-е и 21-е сутки болезни. При наличии соответствующих клинических показаний (угроза продолженного или вторичного кровотечения, увеличения объема внутриорганной гематомы, двухмоментного чрескапсульного разрыва органа, инфицирования содержимого «ложной» посттравматической кисты и т. д.) необходимая кратность эхографических исследований существенно возрастает, а интервал между ними сокращается до 1–3-х часов.
Опыт использования эхографии в неотложной хирургии детского возраста позволяет рекомендовать обследование брюшной полости, предполагающее первоначальную визуализацию определенных анатомо-топографических областей (малый таз, латеральные каналы) с целью диагностики гемоперитонеума по разработанной нами ранее методике и последующее сканирование паренхиматозных органов. Исследование селезенки осуществляется (в зависимости от тяжести состояния пострадавшего) в положении на правом боку или на спине. Сочетание продольного, косого и поперечного сканирования с изменением угла наклона датчика позволяет обеспечить устойчивую визуализацию всех сегментов селезенки.
Считаем обоснованным выделение прямых и косвенных эхографических признаков различных видов повреждения органов. При этом к прямым эхографическим признакам относятся изменения, непосредственно характеризующие состояние морфологической структуры поврежденного органа, а к косвенным – внеорганные проявления (осложнения) травмы.
При интерпретации эхограмм селезенки оценивают ее положение, размеры, форму и четкость контуров, однородность эхоструктуры, наличие дополнительных (патологических) включений в паренхиме, диаметр и пульсацию магистральных сосудов в области ворот. Корректная оценка выявленных изменений предполагает соотносить их со временем, прошедшим после травмы. Количественная оценка акустической плотности паренхимы осуществляется методом эходенситометрии в сравнительном аспекте («зона интереса – интактная зона») и в динамике течения травматического процесса.
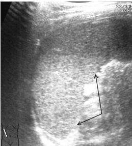
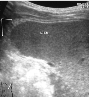
Ушибы селезенки сопровождаются интерстициальным отеком и геморрагическим пропитыванием тканей. Прямыми эхографическими признаками в первые 3–5 часов после травмы являются снижение эхогенности паренхимы и четкости контура органа, а также «разреженность» эхоструктуры паренхимы. Геморрагическое пропитывание паренхимы манифестировало наличием гиперэхогенных зон с нечеткими размытыми контурами в области повреждения (рис. 1). Характерно увеличение размеров всей селезенки или преимущественно поврежденного сегмента с нарушением ее конфигурации. Результаты цветового допплеровского картирования свидетельствуют о снижении кровотока, степень которого коррелирует с выраженностью эхографических проявлений отека паренхимы.

Рис. 1. Ушиб селезенки. Зона геморрагического пропитывания указана стрелками.
В динамике острого периода травмы, в течение 2–3-х суток, отмечается тенденция к уменьшению размеров органа (сегмента) и восстановлению его конфигурации, к нормализации эхогенности паренхимы с одновременным снижением эффекта «разреженности», к повышению четкости контура.
Указанные изменения обусловлены инволюцией отека тканей, завершавшейся к 5–7-м суткам посттравматического периода. В то же время постепенное исчезновение гиперэхогенных зон без четких контуров прослеживается на протяжении 2–3-х недель, что свидетельствует о редукции геморрагического пропитывания паренхимы.
Подкапсульные разрывы селезенки характеризуются распространенностью локализаций повреждения, объемом излившейся в травматическую полость крови, а также временными параметрами.
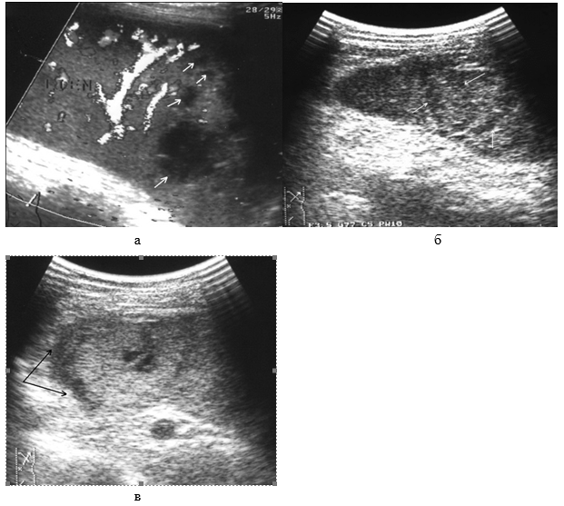
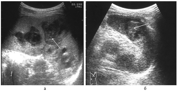
Прямым и наиболее постоянным (в течение острого периода травмы) эхографическим признаком подкапсульных разрывов селезенки с образованием внутриорганных гематом является наличие в паренхиме эхонегативной зоны (рис. 2, а, б). При гематомах, локализовавшихся в области полюсов селезенки или по ее диафрагмальной поверхности, эхонегативная зона имеет серповидную форму, повторявшую контур органа (рис. 2, в).

Рис. 2. Эхограмма подкапсульного разрыва селезенки: а – внутриорганная гематома; б – линейные разрывы паренхимы; в – подкапсульная гематома.
Глубокие, в том числе центральные, разрывы визуализируются в этот период как эхонегативные зоны неправильной формы с нечеткими звездчатыми контурами. Цветовое допплеровское картирование проявляется дефектом сосудистого рисунка в области повреждения паренхимы, что свидетельствует о нарушении сосудистой архитектоники селезенки.
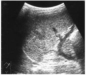
Необходимо указать, что при первичном исследовании (3–5 часов после травмы) ни в одном наблюдении не представилось возможности достоверно выявить подкапсульный разрыв селезенки в виде эхонегативной зоны. Повреждения визуализировались как нечетко очерченные участки паренхимы с незначительно сниженной эхогенностью, имевшие «смазанную» структуру, нехарактерную для паренхимы селезенки (рис 3).

Рис. 3. Эхограмма подкапсульного разрыва селезенки (3–5 часов после травмы). Зона повреждения указана стрелками.
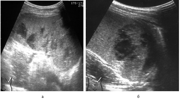
Сканирование селезенки через 8–12 часов после травмы позволяет выявить прогрессирующее неравномерное снижение акустической плотности в зоне интереса (рис. 4, а). Устойчивая визуализация эхонегативной зоны (внутритканевой гематомы) становится возможной по истечении первых суток посттравматического периода (рис. 4, б).

Рис. 4. Эхограмма подкапсульного разрыва селезенки: а – через 8–12 часов после травмы; б – через 1 сутки после травмы.
В ряде случаев выявляется несколько эхонегативных зон, расположенных в непосредственной близости. Практически в половине наблюдений в травматической полости визуализируются эхопозитивные фрагменты различных размеров и формы, представляющим собой сгустки крови и тканевые секвестры (рис. 5, а, б). Подобная точка зрения подтверждается их обратным развитием с образованием мелкодисперсной взвеси осадка в содержимом полости по истечении 7–10-ти суток после травмы.
Эхографически эволюция внутриорганных гематом характеризуется прогрессивным сокращением объема травматической полости, снижением четкости контуров, неоднородным повышением эхогенности ее содержимого за счет заполнения множественными точечными структурами, соответствующими по эхогенности паренхиме селезенки (рис. 6).

Рис. 5. Эхограмма подкапсульного разрыва селезенки: а – сгусток крови в посттравматической полости; б – тканевый секвестр в посттравматической полости.

Рис. 6. Репаративная регенерация при травме селезенки. Точечные эхосигналы в посттравматической полости указаны стрелками.
Необходимо отметить, что определенные изменения претерпевает также форма травматической полости, утрачивая характерный звездчатый контур и приобретая округлые очертания. Длительность течения репаративно-регенеративных процессов при подкапсульных разрывах селезенки определяется прежде всего размерами (объемом) травматической полости и достигает 4-х месяцев, по истечении которых констатируется полная нормализация акустической плотности и эхоструктуры паренхимы органа. Результаты цветового допплеровского картирования также свидетельствуют о полном восстановлении кровотока.
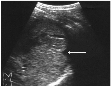
Чрескапсульные разрывы селезенки манифестируют нарушением непрерывности контура органа и визуализацией внутриорганных линий разрыва (рис. 7). Последние представляют собой гипоэхогенную или эхонегативную, в зависимости от времени, прошедшего после травмы, зону линейной или «ветвистой» формы с неровными и нечеткими контурами. Важно отметить, что прямые эхографические признаки, будучи патогномоничными для данного вида повреждений, не имеют облигатный характер. В частности, нарушение непрерывности контура селезенки наблюдается только у 25,4 % больных, а линия внутриорганного разрыва визуализируется в 60,3 % случаев. При этом возможность выявления указанных признаков в ранние сроки весьма проблематична и становится реальной только через 16–24 часа после травмы.

Рис. 7. Эхограмма чрескапсульного разрыва селезенки. Нарушение непрерывности контура указано стрелкой.
Сопоставление результатов эхографических исследований с данными интраоперационного (в том числе эндохирургического) обследования позволяет утверждать, что факторами, определяющими возможность ультразвуковой визуализации являются, прежде всего размеры травматической полости и наличие диастаза между ее стенками.
Поверхностные разрывы селезенки, независимо от интенсивности и длительности возникающего внутреннего кровотечения, эхографически не выявляются в подавляющем большинстве наблюдений.
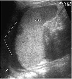
В связи с вышеизложенным особое клиническое значение приобретают косвенные эхографические признаки чрескапсульного разрыва органа, прежде всего внутрибрюшинного кровотечения, отмеченного у всех больных с таким характером травмы. Периспленическая гематома (рис. 8) представляет собой околоорганное скопление крови, полностью либо частично окружающее поврежденную селезенку и ограниченное такими анатомическими образованиями, как купол диафрагмы, задний листок париетальной брюшины, петли кишечника, фиксированные пряди большого сальника и т. д.

Рис. 8. Эхограмма чрескапсульного разрыва селезенки. Периспленическая гематома указана стрелками.
Следующим по значимости и частоте выявления косвенным эхографическим признаком чрескапсульного разрыва селезенки стала визуализация ткани большого сальника, фиксированного в зоне повреждения или окутывающего весь орган (рис. 9).

Рис. 9. Эхограмма чрескапсульного разрыва селезенки. Фиксированная прядь большого сальника указана стрелками.
Фрагментация (отрыв полюса) селезенки представляет, по сути, частный вариант чрескапсульного разрыва с полным разобщением фрагментов органа. Наряду с раздельной визуализацией фрагментов выявляются линии разрывов и вышеописанные косвенные признаки, характерные для данного вида повреждений (рис. 10).

Рис. 10. Эхограмма полного поперечного разрыва селезенки. Линия разрыва указана стрелками.
Таким образом, эхография в диагностике закрытых повреждений селезенки имеет высокую информативности. В то же время следует учитывать, что разрешающая способность метода (в выявлении локальных посттравматических изменений структуры органа) не является величиной постоянной и во многом определяется периодом исследования, – фактически, временем, прошедшим с момента травмы.
Следует констатировать, что в первые часы после травмы, когда с клинических позиций должны быть решены основные вопросы обоснования лечебной тактики, возможности эхографического выявления внутриорганных разрывов селезенки представляются минимальными. Данное обстоятельство определяет целесообразность в указанном временном диапазоне руководствоваться прежде всего косвенными эхографическими признаками травмы селезенки – наличием свободной жидкости (крови) в брюшной полости, периспленической гематомы, большого сальника, фиксированного в зоне предполагаемого разрыва или окутывающего орган, и т. д.
Визуализация зон внутритканевых и нарушающих целостность капсулы селезенки разрывов становится возможной по истечении 4–6-и часов с момента травмы. Указанный феномен обусловлен эволюцией (лизис, ретракция сгустка) излившейся в травматическую полость крови и соответствующими изменениями ее эхогенности. В более ранние сроки эхогенность кровяного сгустка сопоставима с таковой паренхимы селезенки. Это обстоятельство может препятствовать их акустической дифференциации, что, несомненно, должно учитываться при интерпретации эхограмм.
Разработанные критерии дифференциальной диагностики различных видов повреждения органа имеют первостепенное тактическое значение. Необходимо отметить, что возможность ошибочной идентификации вида повреждения особенно велика при абсолютизации значения отдельных симптомов в ранние сроки после травмы. Большей диагностической достоверностью характеризуются симптомокомплексы, включавшие в себя как прямые, так и косвенные признаки характера и локализации повреждения. В частности, сочетание визуализируемой линии разрыва селезенки с наличием крови в брюшной полости, безусловно, указывает на чрескапсульный характер повреждения.
Результаты эхографических исследований в динамике острого и отдаленного периодов травм селезенки свидетельствуют об адекватности метода в определении характера и полноты течения репаративно-регенеративных процессов, а также возможностей своевременной диагностики различных осложнений. Ультразвуковое исследование у больных с закрытой травмой селезенки представляет собой триединую задачу, решение которой, наряду с идентификацией вида повреждения органа, предполагает установление объема излившейся в брюшную полость крови, разграничение остановившегося и продолжающегося кровотечения.
Уровень убедительности рекомендаций С (уровень достоверности доказательств 5)
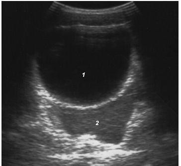
Комментарий. Кровь в брюшной полости, в зависимости от времени, прошедшего после травмы, эхографически представляет собой эхонегативную (в первые часы) или гипоэхогенную (в более поздние сроки) зону, выполняющую пространства, свободные от внутренних органов. Выявлена зависимость между объемом излившейся крови и эхографической картиной, с условным выделением трех уровней гемоперитонеума.
Эхографическая визуализация жидкости только в полости малого таза соответствует «малому» гемоперитонеуму, объем крови при этом не превышает 7,3 мл/кг массы тела (рис. 11).

Рис. 11. «Малый» гемоперитонеум: 1 – мочевой пузырь; 2 – кровь.
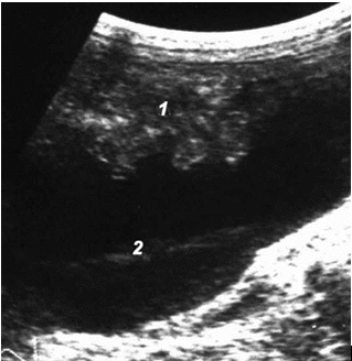
При «среднем» гемоперитонеуме, помимо малого таза, кровь эхографически определяется в печеночно-почечном кармане, латеральных каналах, периспленическом пространстве, ее объем колеблется от 7,6 до 25,8 мл/кг массы тела (рис. 12).

Рис. 12. «Средний» гемоперитонеум: 1 – печень; 2 – почка; 3 – кровь.
Нахождение жидкости еще и под передней брюшной стенкой в области мезогастрия соответствует «большому» гемоперитонеуму с объемом крови в брюшной полости более 26,7 мл/кг массы тела (рис. 13).

Рис. 13. «Большой» гемоперитонеум: 1 – петли тонкой кишки; 2 – кровь.
Уровень убедительности рекомендаций С (уровень достоверности доказательств 5)
Комментарий. Компьютерная томография органов брюшной полости (КТ) рассматривается в качестве «золотого» стандарта диагностики повреждений селезенки в связи с высокой диагностической информативностью. Она позволяет «бесконтактно» осматривать одновременно сразу все анатомические образования, находящиеся в плоскости поперечного среза. КТ показывает достаточно точно количество крови в брюшной полости и ее расположение, а также наличие и локализацию активного артериального кровотечения, например, вследствие разрыва аневризмы селезеночной артерии. КТ помогает идентифицировать количественные и качественные изменения в селезенке, основанные на оценке степени ее повреждения.
В норме селезенка определяется как гомогенный орган с коэффициентом абсорбции, равным печеночному (35–55 ед. Н), который после внутривенного усиления увеличивается на 20–30 ед. Н. Обратимся к КТ-семитотике повреждений.
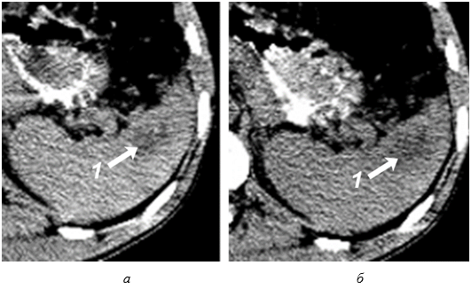
Гематома селезенки. При компьютерной томографии в режиме нативного сканирования селезенка с гематомой увеличена в размерах, деформирована, преимущественно в зоне поражения. Исчезает вогнутость контуров по медиальной поверхности, и она приобретает овальную форму. Текстура и структура гематомы претерпевают изменения в зависимости от сроков ее появления. В острой фазе (до 4-х часов после травмы) гематома может быть изоденсивной, но чаще превышает (на 5–10 ед. Н) нормальные показатели ткани селезенки (рис. 14).

Рис. 14. КТ-признаки гематомы селезенки через 4 часа после травмы. Нативное сканирование. 1 – очаг свежего кровоизлияния (54 ± 3 ед. Н) в заднем полюсе селезенки.
Если «возраст» гематомы не более 2-х суток, то ее плотность сохраняет изоденсивные селезенке показатели. В течение последующих 10-ти суток денситометрические характеристики гематомы постепенно снижаются, становясь меньше плотности селезенки.
Подострые и хронические гематомы в сроки более одного месяца могут сохранять свою первичную форму, но вследствие лизиса кровяного сгустка и резорбции белка имеют значения коэффициента аттенуации, приближающиеся к воде.
Постконтрастное сканирование крайне необходимо использовать в диагностике травмы селезенки в подострой и острой стадиях, когда гематома чаще всего изоденсивна неповрежденной ткани селезенки. При этом в зоне поражения на фоне контрастированной нормальной пульпы выявляются зоны без контрастного усиления, соответствующие очагам кровоизлияния.
Также, если исследование с внутривенным усилением проводится через 1–2 часа после травмы, в гематоме с более низкими денситометрическими показателями могут быть обнаружены облаковидные поля высокой денситометрии (более 60 ед. Н), что указывает на продолжающееся кровотечение.
Подкапсульная гематома. Селезенка увеличена в размерах, деформирована, чаще в области полюсов и по диафрагмальной поверхности.
При компьютерной томографии вдоль латерального края селезенки выявляется патологическое содержимое, чаще всего в виде полумесяца (рис. 15). Денситометрические показатели и структура содержимого зависят от сроков появления гематомы. Происходит утолщение выпуклой латеральной поверхности за счет повреждения.

Рис. 15. КТ-признаки подкапсульной гематомы селезенки через 2 недели после травмы. Нативное сканирование. 1 – ткань селезенки; 2 – гематома.
Интрапаренхиматозная гематома. Селезенка увеличена в размерах, деформирована. При компьютерной томографии в пульпе определяются неправильной формы поля патологической денситометрии, которые в острой и подострой стадиях могут быть хорошо визуализированы только после внутривенного усиления. В более поздние сроки формирования гематомы это возможно без дополнительного введения контраста. Гематома имеет неровные края и иногда проявляется в виде «обрывков ткани» (рис. 16).

Рис. 16. КТ-признаки интрапаренхиматозной гематомы селезенки через 9 суток после травмы:
а – нативное сканирование; б – после внутривенного усиления. 1 – гематома (28 ± 5 ед. Н).
Разрыв селезенки. При компьютерной томографии разрывы селезенки менее заметны, чем подкапсульные гематомы, с более разнообразными проявлениями. Могут быть обнаружены: дефект контуров селезенки, заполненный патологическим содержимым; неотчетливость контуров органа; негомогенность селезеночной структуры; линейные, звездчатые или округлые поля сниженной денситометрии. Разрывы селезенки сопровождаются, как правило, внутритканевой гематомой, наличием периспленального сгустка и свободной жидкости в левом поддиафрагмальном пространстве или других отделах брюшной полости.
Размозжение селезенки. С помощью компьютерной томографии в левом поддиафрагмальном пространстве в проекции селезенки находят негомогенную массу, денситометрические показатели и структура которой зависят от сроков ее появления. Если визуализируется селезенка, то характерны грубая деформация ее контуров и формы, отсутствие нормальной структуры, наличие интрапаренхиматозной и периспленальной гематомы.
Периспленальная гематома. При небольших разрывах селезенки периспленальная гематома может иметь вид «усеченной запонки». При больших периспленальных гематомах селезенка как бы замурована в патологическом содержимом, резко снижены или вовсе отсутствуют ее дыхательные движения, и она как бы вколочена в левом подреберье. Текстура и структура периспленальной гематомы зависят от сроков ее формирования и претерпевают аналогичные изменения, как и при гематоме селезенки.
Компьютерная томография позволяет выявить вокруг селезенки, чаще по диафрагмальной поверхности (в области локализации разрыва), патологическое содержимое, структура и текстура которого зависят от сроков возникновения гематомы. При исследовании пациента на правом боку оно не смещается в другие отделы брюшной полости. Большая гематома, охватывающая селезенку, может деформировать желудок и ободочную кишку.
Гемоперитонеум. При компьютерной томографии в левом поддиафрагмальном пространстве и в других отделах брюшной полости выявляется патологическое содержимое, повторяющее по форме брюшинные карманы. Его конфигурация изменяется при изменении положения тела пациента. В ранние сроки денситометрические характеристики содержимого превышают 60 ед. Н, в дальнейшем оно становится гиподенсивным.
Уровень убедительности рекомендаций С (уровень достоверности доказательств 5)
Комментарий. Противопоказания: диагностическая и лечебная лапароскопия противопоказана больным с закрытыми повреждениями живота с выраженной гипотензией, когда АД удаётся поддерживать только за счёт постоянной инфузии крови и кристаллоидных растворов. В этой ситуации вероятнее всего наличие обширных повреждений внутренних органов и гемоперитонеума с продолжающимся тяжёлым кровотечением. Этим больным показаны срочная лапаротомия и остановка кровотечения.
Эндоскопическая картина брюшной полости. Внешний вид травматических повреждений паренхиматозных органов очень вариабелен: от небольших линейных надрывов, подкапсульных гематом различных размеров до обширных размозжений. Эндоскопически в области разрыва органа обнаруживают сгустки крови, прикрывающие повреждение. Это достоверный признак, позволяющий точно локализовать источник кровотечения. Нецелесообразно снимать сгустки манипулятором, пытаясь определить направление и количество разрывов: эти манипуляции могут усилить кровотечение. Стабильная фиксация большого сальника к повреждённому паренхиматозному органу практически в 90% случаев бывает критерием завершённости спонтанного гемостаза, обеспечивающего надёжную остановку кровотечения и благополучное течение раненого процесса.
Если крови в брюшной полости немного и после аспирации её количество не нарастает, а ревизия органа устанавливает небольшие линейные его надрывы без признаков кровотечения, то больных лечат консервативно. Лапароскопию завершают дренированием брюшной полости. Силиконовый страховочный катетер подводят непосредственно к поврежденному органу или к области малого таза. Иногда при ревизии селезенки можно увидеть подкапсульные гематомы. Такой вид повреждений характерен для больных, упавших с высоты. Множественные мелкие подкапсульные гематомы неопасны и не требуют оперативного лечения. При крупных одиночных подкапсульных гематомах обычно сильно выражен болевой синдром и существует опасность их спонтанного разрыва. В таких случаях гематому пунктируют под визуальным контролем. Продолжения кровотечения из места пункции обычно не происходит. В этой ситуации также необходимо оставить в брюшной полости страховочный катетер, его можно использовать для наложения пневмоперитонеума при необходимости повторной лапороскопии. Определенные сложности возникают при обнаружении забрюшинных гематом в области латеральных каналов. В этом случае эндоскопист не может точно ответить, есть повреждение почки или нет. С большой степенью вероятности об этом можно говорить лишь при больших напряженных гематомах, полностью занимающих весь латеральный канал. Окончательно установить правильный диагноз позволяют дополнительные методы исследования (ультразвуковое исследование органов брюшной полости (комплексное), внутривенная урография, радиоизотопная диагностика). Разрыв кишечника при лапароскопии увидеть достаточно трудно, так как это связано с необходимостью тщательной методической ревизии всех кишечных петель. Существует несколько косвенных признаков разрывов кишечной стенки: парез поврежденной петли, подтягивание к месту разрыва сальника, наличие в брюшной полости мутноватого выпота. Именно поэтому лапароскопию необходимо начинать с панорамного осмотра всей брюшной полости, обращая при этом внимание на состояние петель кишечника и положения сальника.
Следовательно, лапароскопия при подозрении на повреждения органов брюшной полости не только позволяет решить вопрос о необходимости лапаротомии и выборе операционного доступа, но и существенно расширяет возможности консервативного лечения очень сложной категории больных.
Не предусмотрены.
Уровень убедительности рекомендаций С (уровень достоверности доказательств 4)
Комментарий. Под консервативным лечением понимается динамическое наблюдение за пациентом в палате интенсивной терапии и реанимации, которое включает суточное мониторирование артериального давления, исследование пульса методом мониторирования , общий (клинический) анализов крови с исследованием уровня эритроцитов в крови исследования уровня общего гемоглобина в крови, , ультразвуковое исследование органов брюшной полости (комплексное) каждые 2-3 часа и трансфузию растворов для в/в введения по показаниям. Назначают строгий постельный режим. Через 24-48 часов после неоперативного лечения пациента переводят в общее хирургическое отделение. Предикторы неоперативного лечения травмы селезенки у детей представлены в Приложении Г1.
Предложения по неоперативному лечению травмы селезенки у детей Мирового общества неотложных хирургов (World Society of Emergency Surgery) [10].
- Неоперативное лечение является первой линией лечения у пациентов с закрытой травмой селезенки со стабильной гемодинамикой;
- Пациенты со средней, тяжелой степенью закрытой травмы, а также с проникающими ранениями селезенки должны направляться в специализированные детские хирургические стационары после стабилизации гемодинамики;
- Неоперативное лечение повреждений селезенки у детей должно выполняться в стационарах при наличии постоянного мониторинга, ангиографии, квалифицированных хирургов, возможности оказания экстренной хирургической помощи и прямого доступа к препаратам крови;
- Неоперативное лечение детей с травмой селезенки должно быть предпринято даже при сочетанной черепно-мозговой травме;
- У пациентов со стабильной гемодинамикой и изолированной травмой селезенки следует избегать удаления органа;
- Неоперативное лечение противопоказано при наличии перитонита и эвисцерации кишечника;
- Экстравазация контрастного вещества при КТ-исследовании не является показанием к удалению селезенки;
- Оказание медицинской помощи детям в условиях палаты реанимации и интенсивной терапии при изолированной травме селезенки может потребоваться только при средней и тяжелой степени повреждения органа;
- Большинство детей не нуждаются в ангиографии и эмболизации сосудов при экстравазации контрастного вещества при КТ-исследовании или тяжелой степени повреждения органа;
- Ангиография и эмболизация сосудов может быть выполнена при посттравматической псевдоаневризме селезеночных сосудов до выписки ребенка из стационара;
- Риск образования посттравматической аневризмы у детей очень низкий и они исчезают спонтанно;
- После неоперативного лечения средней и тяжелой степени повреждения селезенки ребенок может вернуться к физической активности через 6 недель;
- До и после выписки пациента из госпиталя после неоперативного лечения изолированной травмы селезенки не требуется проведения контрольной КТ.
Уровень убедительности рекомендаций С (уровень достоверности доказательств 5)
Комментарий. Следует придерживаться тактики максимально возможной органосохраняющей операции при повреждении селезенки у детей. Техника выполнения сберегающих селезенку вмешательств предусматривает выполнение топического гемостаза – тампонирование разрывов ткани либо ушивания с применением большого сальника (оментоспленорафия), сегментарную резекцию селезенки, при которой сохраняется сегментарный тип кровоснабжения, атипичную резекцию селезенки с сохранением кровообращения в оставляемой ткани за счет коллатеральных сосудов селезеночно-почечной связки. При спленэктомии, как вынужденной мере, показана аутотрансплантация ткани селезенки [29].
Срединная лапаротомия является универсальным доступом при повреждениях органов живота по следующим причинам:
* одинаково хорошая экспозиция при вмешательствах на верхнем и нижнем этажах брюшной полости;
* создание условий для адекватной ревизии всех отделов брюшной полости и забрюшинного пространства;
* возможность расширения при необходимости одним из известных вариантов;
* преимущества закрытия операционной раны и выполнения релапаротомии при этапной хирургической коррекции;
* простота выполнения форсированного доступа при критическом состоянии пациента.
Вышесказанное означает, что все операции по поводу повреждений органов живота проводятся из срединной лапаротомии, выполняемой, как правило, с обходом пупка слева. При необходимости можно расширить доступ до полного срединного чревосечения.
Применительно к хирургии селезенки используются приемы, улучшающие экспозицию, а именно:
* зондовую декомпрессию желудка, что открывает обзор левого поддиафрагмального пространства при экстренном вмешательстве.
* применение крючков М.З. Сигала - крайне желательно для манипуляций на селезенке, поскольку существенно улучшает экспозицию.
* боковой поворот операционного стола – другой способ улучшить инспекцию левого поддиафрагмального пространства.
Первым этапом после выполнения лапаротомии и диагностики внутрибрюшинного скопления крови, целесообразно провести сбор крови для реинфузии по известным правилам. Возвращение собранной крови пациенту начинается лишь после проведения ревизии живота. Противопоказанием к реинфузии крови является массивное загрязнение ее кишечным содержимым при сочетанных повреждениях органов брюшной полости и высокий уровень гемолиза.
Ревизию органов живота начинается с области, содержащей максимальное количество сгустков крови или источник продолжающегося кровотечения. При повреждениях селезенки жидкая фракция крови скапливается преимущественно в полости малого таза. Для проведения полноценной ревизии селезенки ассистент оттягивает крючком брюшную стенку с синхондрозом левой реберной дуги. Оперирующий хирург заводит ладонь левой руки в поддиафрагмальное пространство и бережно, без рывков укладывает кисть руки за селезенку, после чего аккуратно выводит орган кпереди и вправо. Пространство под левым куполом диафрагмы освобождается от крови и сгустков, туда заводится один или несколько марлевых тампонов. При этом селезенка подается к операционной ране. Уже на этом этапе удается пальпировать разрывы на диафрагмальной поверхности селезенки, но окончательная диагностика характера повреждений выполняется лишь под контролем зрения, после бережного удаления сгустков крови с капсулы органа и проведения мобилизации. На этом этапе может возобновиться паренхиматозное кровотечение из дефектов капсулы, поскольку механически устраняются тромбы. Для временной остановки кровотечения следует тампонировать дефекты ткани марлей. Если при первом осмотре брюшной полости не выявлено дополнительных источников геморрагии, состояние пациента не критическое, дальнейшей задачей является мобилизация селезенки для проведения исчерпывающей ревизии и принятия решения о способе гемостаза. Задачей мобилизации селезенки является обеспечение полного обзора области ворот, нижнего края и почечной поверхности, задних отделов органа. Ошибкой является осмотр лишь верхнего острого края, желудочной поверхности, переднего полюса и диафрагмальной поверхности селезенки, поскольку разрывы часто локализуются в зоне ворот и на задне-латеральной (почечной) поверхности органа. Нераспознанные повреждения приводят к выбору неверной тактики и, в конечном итоге, к послеоперационному кровотечению. Мобилизация селезенки с пересечением ее связок проводится «справа налево». Для этого ассистент отводит вправо и книзу селезеночный изгиб ободочной кишки, крючком оттесняет вправо и кверху левую долю печени, открывая обзор левого поддиафрагмального пространства. Между зажимами пересекается левая часть желудочно-ободочной связки. Ее латеральный отдел называют также селезеночно-ободочной связкой, где от селезеночной артерии или сегментарных ветвей отходит a. gastroepiploica sinistra, что необходимо помнить при мобилизации. После доступа в сальниковую сумку удается осмотреть магистральные сосуды селезенки и область ворот, в проекции которых ткани часто (особенно при закрытых повреждениях) имбибированы кровью. Следующим этапом ревизии является пересечение желудочно-селезеночной связки. Для этого хирург вводит пальцы левой руки в сальниковую сумку, натягивает желудочно-селезеночную связку и поэтапно - между наложенными зажимами - разрезает ее. При этом пересекаются короткие сосуды желудка - ветви селезеночной артерии, поэтому необходимо тщательно перевязывать ткани под зажимами как у большой кривизны желудка, так и у ворот селезенки. У заднего полюса желудочно-селезеночная связка часто становится узкой - расстояние между большой кривизной и воротами селезенки 0,5-1 см, оттого мобилизация верхних отделов этой связки должна производиться с осторожностью. Поскольку любые вмешательства на селезенке завершаются дренированием левого поддиафрагмального пространства, а часто – и подведением гемостатического тампона, следует, завершая этап обратимой ревизии селезенки, низвести левый изгиб ободочной кишки. Для этого пересекаем левую диафрагмально-ободочную связку (мембрану Пайра). До принятия решения о характере вмешательства на селезенке не следует, если возможно, рассекать глубокий листок диафрагмально-селезеночной связки (селезеночно-почечную связку), поскольку один из вариантов резекции селезенки предусматривает ее сохранение как источника коллатерального кровоснабжения культи. После мобилизации становятся хорошо доступными осмотру наиболее важные структуры: ворота селезенки, хвост поджелудочной железы, магистральные селезеночные сосуды, что дает возможность адекватно оценить повреждения (или локализацию патологического процесса) и принять решение о дальнейшей тактике.
Описанная последовательность действий применима, когда нет массивного продолжающегося кровотечения из селезенки или других источников. Существуют ситуации, требующие форсированных действий, когда алгоритм может быть изменен:
* интенсивное кровотечение из магистральных и/или сегментарных сосудов селезенки;
* множественные источники геморрагии в брюшной полости;
* исходные явления декомпенсированного шока
* тяжелые экстраабдоминальные сочетанные повреждения.
Тогда показано применение приемов временного гемостаза, которые бывают простыми и менее травматичными и сложными.
Методы локального гемостаза
С этой целью используется подведение тампона с гемостатической целью. Тампонирование разрыва селезенки - наиболее простой, но надежный способ завершения операции при разрывах капсулы и поверхностных дефектах паренхимы; показан при остановившемся к моменту операции кровотечении, когда удаление сгустков с поверхности капсулы не привело к возобновлению геморрагии, либо при эффективной остановке паренхиматозного кровотечения методами термокоагуляции. Известный факт: капиллярное кровотечение при поверхностных повреждениях селезенки останавливается при механической компрессии марлевым тампоном с экспозицией, совпадающей по времени с продолжительностью ревизии органов живота и туалета брюшной полости (удаление жидкой крови и сгустков, санация брюшной полости растворами). Следует так подвести марлевую композицию к селезенке, чтобы создать вектор давления на поврежденный участок, но использовать это как окончательный метод гемостаза возможно лишь при отчетливом прекращении капиллярного кровотечения. Дело в том, что применение тампона не гарантирует остановки кровотечения, а служит лишь средством профилактики геморрагии в дальнейшем. Для его правильного размещения необходимо отвести левый изгиб ободочной кишки вправо и книзу, при необходимости - низвести фиксированную в левом боковом канале нисходящую часть (достигается рассечением брюшины латерально от толстой кишки до обнажения преренальной фасции). В левой пояснично-боковой области выполняется разрез кожи, перпендикулярный длинной оси тела, длиной до 5 см. Рассекается апоневроз наружной косой мышцы живота и формируем канал до париетальной брюшины, которую необходимо рассечь в наиболее отлогом месте. После низведения левой половины ободочной кишки проекция контрапертуры такова, что тампон укладывается на преренальную фасцию. Ассистент крючками Фарабефа разводит ткани, облегчая выполнение доступа.
Для предотвращения контакта марли с кишечной стенкой и улучшения оттока из полости брюшины мы продеваем подготовленный к установке тампон в хирургическую перчатку со срезанными пальцами (перчаточно-марлевая композиция) типа дренажа Penrose. Перед установкой тампона в левое поддиафрагмальное пространство укладывается дренаж, последнее отверстие которого находится вблизи разреза париетальной брюшины для профилактики скопления жидкости в левом боковом канале. Затем возвращается селезенка в ее ложе, избегая перегибов ножки; поверх поврежденной капсулы плотно фиксируется тампон, который размещается в левом боковом канале, латерально от селезеночного изгиба и нисходящего отдела ободочной кишки.
Сегментарная ангиоредукция
Этим термином обозначается перевязка поврежденных сегментарных сосудов при сохранении целой селезенки - нераспространенный способ остановки кровотечения. Применяется при изолированном повреждении переднего полюса селезенки, когда геморрагия обусловлена отрывом передней полюсной артерии.
В зарубежной литературе под ангиоредукцией понимают прием, который заключается в перевязке основного ствола селезеночной артерии для достижения гемостаза при массивных разрывах паренхимы органа. Некроза удается избежать за счет кровоснабжения через систему коротких сосудов желудка, добавочных полюсных сосудов, панкреатических ветвей селезеночной артерии. Техника операции заключается в прошивании передней части ворот селезенки, в которой проходит поврежденный полюсной сосуд.
Оментоспленорафия
Спленорафия - зашивание раны селезенки, является традиционным, довольно простым в исполнении и надежным способом остановки кровотечения из раны селезенки. Использование большого сальника в качестве пластического материала при наложении шва - оментопластика значительно увеличивает надежность и эффективность шва.
Известны два варианта оментопластики: прядью с сохраненным кровоснабжением (на ножке) и изолированным сальником. Следует отдавать предпочтение сальнику на ножке, полагая, что сохранение кровоснабжения положительно сказывается на его гемостатических свойствах и течении локального раневого процесса.
Показания: одиночные разрывы ткани селезенки на диафрагмальной поверхности и в области полюсов селезенки.
Из большого сальника выкраивают три пряди, размер которых выбирают в зависимости от величины и локализации раны селезенки. Две крайние пряди укладывают по краям раны селезенки. Затем накладывают отдельные швы кетгутом, проводя нити через прядь сальника, расположенную на одном краю раны, капсулу и пульпу селезенки под дном раны, на другой край разрыва через капсулу и расположенную на ней сальниковую прядь. После наложения всех швов в рану укладывают среднюю прядь большого сальника и завязывают нити, осторожно затягивая их до прекращения геморрагии. Таким образом, фрагменты сальника, уложенные по краям селезенки, служат амортизирующими прокладками, предотвращая прорезывание ткани селезенки нитью, а средняя прядь выполняет роль биологического тампона. При глубине раны селезенки 0,5-1,0 см выполняется спленорафия с оментопластикой одной прядью сальника. Для этого из большого сальника выкраивают часть с сохраненным кровоснабжением с таким расчетом, чтобы ткань сальника полностью заполнила рану селезенки и свободно лежала на ее краях, выступая приблизительно на 1,5 см. Затем накладывают отдельные швы на расстоянии около 1,0 см один от другого, проводя лигатуру через сальник, расположенный на одном краю раны, капсулу и пульпу селезенки под дном раны на другую сторону и далее - через капсулу и часть сальника, расположенную на противоположном краю раны. Лигатуры завязывают хирургическим узлом и затягивают, не допуская прорезывания капсулы.
Сегментарная резекция селезенки
Резекционная техника существенно расширила возможности органосохраняющих операций при травме органа.
Показания к резекции селезенки:
1) глубокие разрывы пульпы селезенки, когда спленорафия невозможна или неэффективна;
2) повреждения, распространяющиеся на ворота селезенки с активным кровотечением;
3) двухэтапные разрывы селезенки с обширным отслоением капсулы и вторичным паренхиматозным кровотечением, когда сохранена часть органа.
Условия выполнения резекции селезенки:
* сохранность части органа с магистральным кровотоком;
* целостность капсулы оставляемой части;
* стабильные показатели артериального давления в ходе операции.
Принципиально резекция селезенки включает этапы мобилизации органа, перевязки сосудов удаляемой части, иссечения поврежденной ткани, остановки кровотечения со среза органа. Последний этап – наиболее ответственный, поскольку главная опасность резекции селезенки – рецидивное послеоперационное кровотечение – способно перечеркнуть все усилия, направленные на сохранение части органа.
Способ резекции селезенки, при котором гемостаз достигается затягиванием круговой лигатуры, проведенной вокруг селезенки, на расстоянии 0,7 - 1,0 см от линии предполагаемого сечения органа, после чего удаляется поврежденный участок, а срез перитонизируется прядью большого сальника. Нити, которыми ткань большого сальника фиксируется к плоскости сечения селезенки, проводятся за сдавливающей круговой лигатурой. С применением циркулярной лигатуры значительно упрощается остановка артериального и паренхиматозного кровотечения после пересечения органа в выбранной плоскости. При этом отсутствует необходимость выполнения резекции по малососудистой зоне, что позволяет сохранить больше кровоснабжаемой ткани селезенки, чем при классической сегментарной резекции. Ключом к выполнению этой процедуры является создание такой компрессии, чтобы прекратить циркуляцию крови в трабекулярных и сегментарных сосудах, попадающих в плоскость сечения и при этом не повредить капсулу селезенки. Для создания равномерного давления на ткань селезенки и удобства фиксации к срезу пряди сальника предложены модификации способа, предусматривающие проведение не одной, а двух лигатур вокруг органа, которые затягиваются попеременно. Если на поверхности среза в плоскости сечения все же оказываются кровоточащие сосуды, достаточно прицельно прошить их на срезе, чтобы кровотечение прекратилось.
Атипичная (плоскостная) резекция селезенки
Под атипичной резекцией селезенки понимается такое иссечение ее части, когда сегментарное строение органа не учитывается. Представленный здесь способ правильнее назвать субтотальной атипичной резекцией селезенки с прекращением магистрального кровоснабжения. По характеру оперативного приема она именуется «плоскостной» резекцией селезенки, поскольку сечение производится в косо-сагиттальной плоскости, а сформированная культя на всем протяжении имеет связь с селезеночно-почечной связкой, выполняющей роль новой «сосудистой ножки» («брыжейки» культи селезенки, по аналогии с кровоснабжением тонкой кишки). Патофизиологическое обоснование разработанного вмешательства заключается в сохранении некоторого количества ткани селезенки с сохраненным (пусть и редуцированным) кровоснабжением в расчете на профилактику постспленэктомического гипоспленизма в раннем послеоперационном периоде и регенерацию органа в дальнейшем.
Показания к атипичной резекции селезенки: повреждения селезенки III-IV классов при наличии неизмененного участка капсулы и пульпы, сохранившего связь с селезеночно-диафрагмальной связкой, при стабильном состоянии пациента во время операции.
Кроме описанных методов локального гемостаза также возможны следующие методы.
Аппликация рассасывающихся гемостатических материалов, таких как коллагеновый клей, активированный микрокристаллический коллаген или биогенные тканевые адгезивные материалы могут помочь контролировать кровотечение при поверхностных повреждениях капсулы. используется фибриновый клей, который является биологическим гемостатическим средством.
Аутоспленотрансплантация
Аутотрансплантация ткани селезенки является одним из способов профилактики постспленэктомических расстройств вследствие протезирования некоторых функций селезенки. Пересадка ткани селезенки основана на известном феномене ее приживления с образованием структур, присущих красной пульпе селезенки с элементами белой.
Предложены следующие варианты трансплантации селезеночной ткани:
1. По способу подготовки ткани:
1.1. Гомогенезация
1.2. Фрагментация (кубики ткани)
1.3. Пластинки ткани (тангенциальные срезы органа)
1.4. Выделение субсегментов селезенки
2. По зоне аутотрансплантации
2.1. В большой сальник с созданием дупликатуры свободного края или выкраиванием и навертыванием пряди сальника
2.2. В сальниковую сумку
2.3. В брыжейку тонкой или толстой кишки
2.4. В забрюшинное пространство (в том числе с оментопластикой)
2.4. В заднюю брюшную стенку (в том числе с оментопластикой)
2.5. В переднюю брюшную стенку (на задний листок влагалища прямой мышцы живота)
2.5. В подкожную клетчатку
3. По характеру медикаментозной обработки
3.1. С предварительной обработкой (перфузия пульпы, противоишемическое воздействие, антибактериальная обработка)
3.2. Без обработки
4. По срокам выполнения аутотрансплантации
4.1. Интраоперационная
4.2. Отсроченная (в раннем послеоперационном периоде)
Уровень убедительности рекомендаций С (уровень достоверности доказательств 4)
Комментарий. После спленэктомии возникают дисбаланс иммуноглобулинов, падение концентрации специфических антител, уменьшение опсонизации бактерий, снижение содержания компонентов комплемента [10,29,30]. Наиболее опасное осложнение после удаления селезенки – это отягощенная постспленэктомическая инфекция, постспленэктомический сепсис. Механизмы развития постспленэктомического сепсиса связаны с дефицитом антител к полисахаридам капсулы возбудителя, в качестве которого чаще всего выступают Streptococcus pneumonia (23 серотипа определяются в 85% наблюдений молниеносной инфекции), Neisseria meningitidis (группы А, С, Y, W135), Haemophilus influenza тип В у детей [10,29,30]. Смысл вакцинации заключается в индукции иммунного ответа к компонентам капсулы возбудителей.
Антибактериальная профилактическая терапия проводится в течение жизни пациентам с высоким риском, в частности детям в возрасте до 6 лет, а также с неадекватной серологической реакцией на пневмококковую вакцину и имеющих в анамнезе заболевания пневмококковой этиологии [35].
- Проведение образовательных программ для аспленированных пациентов и врачей педиатров и общей практики по ранней диагностике инфекционных заболеваний;
- Ознакомление пациентов с возможными осложнениями в течение жизни в связи с повышенной восприимчивостью к тяжелым инфекционным заболеваниям;
- Предупреждение стоматологов и парамедицинских специалистов о вероятных рисках их вмешательств.
Показания для госпитализации в медицинскую организацию:
1) Анамнестические и клинические данные свидетельствующие о повреждении селезенки.
Показания к выписке пациента из медицинской организации:
1) Стабильные показатели гемодинамики.
2) Нормализация лабораторных данных, включая показатели гематокрита и гемоглобина.
3) Полная энтеральная нагрузка.
4) Отсутствие болевого абдоминального синдрома и напряжение мышц передней брюшной стенки.
Нет.


Энциклопедический словарь медицинских терминов: В 3-х томах./Гл.ред.Б.В. Петровский.-М.:Советская энциклопедия, Т.3.-с.191.
Пугачев А.Г., Финкельсон Е.И.Закрытые повреждения органов брюшной полости у детей.-М: Медицина, 1981.-208 с.
Buntain W.L. Management of pediatric trauma.-Philadelphia: W.B. Saunders,1995.-788p.
Upadhyaya P. Conservative management ofsplenic trauma: History and current trends//Pediatr.Surg.Int.-2003.-vol19/-P/617-627.
Sjovall A, Hirsch K. Blunt abdominal trauma in children. Risks of nonoperative treatment. Journal of pediatric surgery, 1997. – vol 32. – No 8. – pp1169-1174.
Цап Н.А. Совершенствование экстренной помощи детям с травматическими повреждениями органов брюшной полости и забрюшинного пространства: автореф.дис….д-ра мед.наук.-Омск, 2011.-48с.
Гисак С.Н., Коротков И.В., Гуров П.А. и др. Травматические повреждения паренхиматозных органов брюшной полости и забрюшинного пространства у детей // Политравма у детей: тез. докл. Всерос. симп. детских хирургов. – Самара, 2001. – С. 17–19.
Шапкин В.В., Пилипенко А.П., Шапкина А.Н. Лечебная тактика при закрытой травме селезенки у детей. Детская хирургия, 2004.-№1.-с.27-31.
Moore E.E, Cogill T.H, Jurkovich G.J Organ injury scalling:Spleen, Liver(1994 revision)//s/trauma/-1995/-vol/38/-P/323-324.
Coccolini F, Montori G, Catena F, et al. Splenic trauma. WSES classification and guidelines for adult and pediatric patients. World Journal of Emergency Surgery, 2017. - №1. – рр.12-40.
Acker S.N, Ross J.T, Patrick D.A, et al. Pediatric specific shock index accurately identifies severely injured children, 2015. – vol.50. - №2. – рр.331-334.
Linnaus M, Notrica D, Langlais C et al. Prospective validation of the shock index pediatric adjusted (SIPA) in blunt liver and spleen trauma. An ATOMAC study. Journal of pediatric surgery, 2016. – vol 52. – No.
Розинов В.М, Савельев С.Б, Беляева О.А., Буркин И.А. Диагностика и лечение чрескапсульных повреждений селезенки у детей с политравмой// Политравма у детей: тез.докл. Всерос.симп.детских хирургов.-Самара, 2001.-с.92-93.
Беляева О.А, Розинов В.М, Беляева А.В, Савельев С.Б. Эхографическая диагностика повреждений селезенки. Глава 6. В кн.: Неоперативное лечение повреждений селезенки у детей / под ред. В.В.Подкаменева, К.А.Апарцина, Е.Г.Григорьева. – Новосибирск: Наука, 2014. – 256 с.
Подкаменев В.В., Пикало И.А., Андаева Т.М., Бойко Т.Н. Структурно-функциональное состояние повреждённой селезёнки у детей после неоперативного лечения // Вестник хирургии им. И.И. Грекова. 2016. Т. 175. № 1. С. 64-70.
Розинов В.М., Савельев С.Б., Рябинская Г.В. и др. Органосохраняющее лечение повреждений селезенки в детском возрасте // Рос. вестн. перинатол. и педиатр. – 1994. – Т. 39, № 2. – С. 20–21.
Шантуров В.А, Бойко Т.Н. Компъютерная томография при повреждениях селезенки. Глава 6. В кН.: В кн.: Неоперативное лечение повреждений селезенки у детей / под ред. В.В.Подкаменева, К.А.Апарцина, Е.Г.Григорьева. – Новосибирск: Наука, 2014. – 256 с.
Бастрыгин А.В., Жила Н.Г, Шапкин В.В. Диагностика и лечебная тактика при травматических повреждениях селезенки у детей.-Хабаровск, 2009.-189с.
Lynn K.N,Werder G.M, Callaghan R.M,et Pediatric blunt splenic trauma:Acomprehensive review. Pediatr. Radiol,2009.-vol.39.-p.904-916.
Davies D.A., Pearl R.H., Ein S.H. et al. Management of blunt splenic injury in children: evolution of the nonoperative approach // J. Pediatr. Surg. – 2009. – Vol. 44, N 1. – P. 1005–1008.
Неоперативное лечение повреждений селезенки у детей / под ред. В.В.Подкаменева, К.А.Апарцина, Е.Г.Григорьева. – Новосибирск: Наука; Иркутск: НЦРВХ СО РАМН, 2014. – 256 с.
Feigin E., Aharonson-Daniel L., Savitsky B. et al. Conservative approach to the treatment of injured liver and spleen in children: association with reduced mortality // Pediatr. Surg. Int. – 2009. – Vol. 25. – P. 583–586.
Cloutier D.R., Baird T.B., Gormley P. et al. Pediatric splenic injuries with a contrast blush: successful nonoperative management without angiography and embolization // J. Pediatr. Surg. – 2004. – Vol. 39, N 6. – P. 969–971.
Crankson S. Management of blunt hepatic and splenic trauma in children // Ann. Saudi Med. – 2005. – Vol. 25, N 6. – P. 492–495.
Peter S.D., Sharp S.W., Snyder C.L. et al. Prospective validation of an abbreviated bedrest protocol in the management of blunt spleen and liver injury in children // J. Pediatr. Surg. – 2011. – Vol. 46. – P. 173–177.
Yang J.C., Sharp S.W., Ostlie D.J. et al. Natural history of nonoperative management for grade 4 and 5 liver and spleen injuries in children // J. Pediatr. Surg. – 2008. – Vol. 43. – P. 2264–2267.
Gandhi R.R., Keller M.S., Schwab C.W., Stafford P.W. Pediatric splenic injury: pathway to play? // J. Pediatr. Surg. – 1999. – Vol. 34, N 1. – P. 55–59.
Keller M.S. Blunt injury to solid abdominal organs // Sem. Pediatr. Surg. – 2004. – Vol. 13, N 2. – P. 106–111.
McVay M.R., Kokoska E.R., Jackson R.J., Smith S.D. Throwing out the “grade” book: management of isolated spleen and liver injury based on hemodynamic status // J. Pediatr. Surg. – 2008. – Vol. 43. – P. 1072–1076.
Органосохраняющая хирургия селезенки / Е.Г. Григорьев, К.А. Апарцин, Н.С.Матинян и др.; Под ред. Е.Г.Григорьева, К.А.Апарцина. – Новосибирск: Наука, 2001. – 400 с.
Морозов Д.А, Клюев С.А. Постспленэктомический гипоспленизм. Вестник РАМН, 2015. – т.70. - №4. – с.413-418.
Разумовский А.Ю, Рачков В.Е. Закрытые повреждения органов брюшной полости у детей. В кн.: Детская хирургия: национальное руководство/ под ред. Ю.Ф.Исакова, А.Ф.Дронова. – М.: ГЭОТАР – Медиа, 2009. – с.478-486.
Williams RF, Grewal H, Jamshidi R, et al. Updated APSA Guidelines for the Management of Blunt Liver and Spleen Injuries. J Pediatr Surg. 2023 Aug;58(8):1411-1418.
Gates RL, Price M, Cameron DB, et al. Non-operative management of solid organ injuries in children: An American Pediatric Surgical Association Outcomes and Evidence Based Practice Committee systematic review. J Pediatr Surg. 2019 Aug;54(8):1519-1526.
Salvadori MI, Price VE; Canadian Paediatric Society, Infectious Diseases and Immunization Committee. Preventing and treating infections in children with asplenia or hyposplenia. Paediatr Child Health. 2014 May;19(5):271-8.
Апарцин К.А. – доктор медицинских наук, профессор. Российское общество хирургов.
Беляева О.А. – кандидат медицинских наук. Российская ассоциация специалистов ультразвуковой диагностики в медицине.
Григорьев Е.Г. – доктор медицинских наук, профессор, член-корр. РАН. Российское общество хирургов.
Карасева О.В. – доктор медицинских наук, профессор. Российская ассоциация детских хирургов.
Комиссаров И.А. – доктор медицинских наук, профессор. Российская ассоциация детских хирургов.
Морозов Д.А. – доктор медицинских наук, профессор. Российская ассоциация детских хирургов.
Пикало И.А. – доктор медицинских наук. Российская ассоциация детских хирургов.
Подкаменев А.В. – доктор медицинских наук, доцент. Российская ассоциация детских хирургов.
Подкаменев В.В. – доктор медицинских наук, профессор. Российская ассоциация детских хирургов.
Разумовский А.Ю. – доктор медицинских наук, профессор, член-корр., РАН. Российская ассоциация детских хирургов.
Розинов В.М. – доктор медицинских наук, профессор. Российская ассоциация детских хирургов.
Сварич В.Г. – доктор медицинских наук, профессор. Российская ассоциация детских хирургов.
Шантуров В.А. – доктор медицинских наук, профессор. Российское общество хирургов.
Цап Н.А. – доктор медицинских наук, профессор. Российская ассоциация детских хирургов.
Конфликт интересов: отсутствует.
Целевая аудитория клинических рекомендаций:
Врачи-детские хирурги
Клинические ординаторы-детские хирурги
Методология сбора доказательств:
Методы, использованные для сбора/селекции доказательств:
Поиск публикаций в специализированных периодических печатных изданиях с импакт-фактором >0,3;
Поиск в электронных базах данных:
Базы данных, использованных для сбора/селекции доказательств:
Доказательной базой для рекомендаций являются публикации, вошедшие в Кохрейновскую библиотеку, базы данных PUBMED и MEDLINE. Глубина поиска составила 10 лет.
Методы, использованные для анализа доказательств:
обзоры опубликованных мета-анализов;
систематические обзоры с таблицами доказательств.
Методы, использованные для качества и силы доказательств:
консенсус экспертов;
оценка значимости доказательств в соответствии с рейтинговой схемой доказательств (табл.1.-2.).
В настоящих клинических рекомендациях приведены уровни достоверности доказательств рекомендаций в соответствии с проектом методических рекомендаций по оценке достоверности доказательств и убедительности рекомендаций ФГБУ «Центр экспертизы и контроля качества медицинской помощи» Минздрава России.
В соответствии с данным проектом рекомендаций отдельным общепринятым методикам диагностики на основании консенсуса экспертов придан уровень GPP (сложившаяся клиническая практика).
Методология валидизации рекомендаций
Методы валидизации рекомендаций:
Внешняя экспертная оценка;
Внутренняя экспертная оценка.
Описание методики валидизации рекомендаций
Рекомендации обсуждены и одобрены ведущими специалистами профильных Федеральных центров России и практическими врачами.
Порядок обновления клинических рекомендаций
Актуализация проводится не реже чем один раз в три года или ранее с учетом появившейся новой информации о диагностике и тактике ведения пациентов, страдающих ПГ. Решение об обновлении принимает Минздрав России на основе предложений, представленных медицинскими профессиональными некоммерческими организациями. Сформированные предложения должны учитывать результаты комплексной оценки хирургических методов, медицинских изделий, а также результаты клинической апробации.
Таблица 1. Шкала оценки уровней достоверности доказательств (УДД) для методов диагностики (диагностических вмешательств)
УДД | Расшифровка |
|---|---|
1 | Систематические обзоры исследований с контролем референсным методом или систематический обзор рандомизированных клинических исследований с применением мета-анализа |
2 | Отдельные исследования с контролем референсным методом или отдельные рандомизированные клинические исследования и систематические обзоры исследований любого дизайна, за исключением рандомизированных клинических исследований, с применением мета-анализа |
3 | Исследования без последовательного контроля референсным методом или исследования с референсным методом, не являющимся независимым от исследуемого метода или нерандомизированные сравнительные исследования, в том числе когортные исследования |
4 | Несравнительные исследования, описание клинического случая |
5 | Имеется лишь обоснование механизма действия или мнение экспертов |
Таблица 2. Шкала оценки уровней достоверности доказательств (УДД) для методов профилактики, лечения, медицинской реабилитации, в том числе основанных на использовании природных лечебных факторов (профилактических, лечебных, реабилитационных вмешательств)
УДД | Расшифровка |
|---|---|
1 | Систематический обзор рандомизированных клинических исследований с применением мета-анализа |
2 | Отдельные рандомизированные клинические исследования и систематические обзоры исследований любого дизайна, за исключением рандомизированных клинических исследований, с применением мета-анализа |
3 | Нерандомизированные сравнительные исследования, в том числе когортные исследования |
4 | Несравнительные исследования, описание клинического случая или серии случаев, исследование «случай-контроль» |
5 | Имеется лишь обоснование механизма действия вмешательства (доклинические исследования) или мнение экспертов |
Таблица 3. Шкала оценки уровней убедительности рекомендаций (УУР) для методов профилактики, диагностики, лечения, медицинской реабилитации, в том числе основанных на использовании природных лечебных факторов (профилактических, диагностических, лечебных, реабилитационных вмешательств)
УУР | Расшифровка |
|---|---|
A | Сильная рекомендация (все рассматриваемые критерии эффективности (исходы) являются важными, все исследования имеют высокое или удовлетворительное методологическое качество, их выводы по интересующим исходам являются согласованными) |
B | Условная рекомендация (не все рассматриваемые критерии эффективности (исходы) являются важными, не все исследования имеют высокое или удовлетворительное методологическое качество и/или их выводы по интересующим исходам не являются согласованными) |
C | Слабая рекомендация (отсутствие доказательств надлежащего качества (все рассматриваемые критерии эффективности (исходы) являются неважными, все исследования имеют низкое методологическое качество и их выводы по интересующим исходам не являются согласованными) |
Порядок обновления клинических рекомендаций.
Механизм обновления клинических рекомендаций предусматривает их систематическую актуализацию – не реже чем один раз в три года, а также при появлении новых данных с позиции доказательной медицины по вопросам диагностики, лечения, профилактики и реабилитации конкретных заболеваний, наличии обоснованных дополнений/замечаний к ранее утверждённым КР, но не чаще 1 раза в 6 месяцев.
Связанные документы
Данные клинические рекомендации разработаны с учётом следующих нормативно-правовых документов:
Предикторы неоперативного лечения травмы селезенки у детей: возраст, механизм травмы, изолированные и сочетанные повреждения селезенки, степень повреждения органа, время поступления в стационар, объем гемоперитонеума, состояние гемодинамики.
Возраст. Детский возраст можно рассматривать как благоприятный прогностический фактор неоперативного лечения повреждений селезенки. Анализ клинико-эпидемиологических данных за 50 лет показывает, что средний возраст детей с неоперативным лечением составляет 6–10 лет [21].
Если частота неудач при неоперативном лечении травмы селезенки у детей составляет менее 5 %, то у взрослых пациентов она достигает 15 % [22]. Неоперативное лечение травмы селезенки у детей более эффективно, чем у взрослых, из-за различий физиологических реакций на повреждение. Частота безуспешного консервативного лечения травмы селезенки у взрослых коррелирует с возрастом, что объясняется существенными различиями в морфологии сосудов селезенки, строении ее капсулы и сократительной способности сосудов селезенки к спонтанному гемостазу (4).
Механизм травмы. Неоперативное лечение травмы селезенки у детей бывает успешным независимо от механизма повреждения. Даже в случаях автодорожных происшествий, которые относятся к наиболее тяжелым механизмам травмы и составляют до 91 %, неоперативное лечение бывает успешным у 98 % детей [23].
Сочетанные повреждения и тяжесть травмы. Изолированные повреждения селезенки у детей не ассоциируются с тяжелой степенью травмы. Так, сумма баллов по PTS (Педиатрическая шкала травмы) составляет 11,7 ± 0,5 для изолированной и 9,6 ± 1,7 для сочетанной травмы. Травма считается тяжелой при сумме баллов 8 и ниже. Сочетанные повреждения селезенки не являются противопоказанием к неоперативному лечению. Разница между пациентами с изолированной и сочетанной травмой селезенки заключается в продолжительности госпитализации (6,9 ± 9,0 дней против 2,0 ± 1,2 дня; p < 0,001). Необходимость в гемотрансфузии у детей с сочетанной травмой возникает в 30,8 % случаев по сравнению с 10,8 % при изолированной травме селезенки. В госпитализации в палату ИТАР нуждались 30,8 % детей с сочетанной травмой и только 17,7 % (p = 0,09) с изолированной травмой селезенки [24].
Степень повреждения селезенки. Представлен опыт успешного неоперативного лечения 72 детей с IV и V степенями повреждения печени (n = 30) и селезенки (n = 42), из которых 43 % (n = 31) имели сочетанные повреждения. Только у 1 (2,4 %) пациента с IV степенью травмы селезенки наблюдалось осложнение, обусловленное левосторонним плевритом. У 17,9 % (n = 5) детей с травмой печени и неоперативным лечением развились осложнения в виде биломы [25].
Время от момента поступления в стационар до хирургического лечения. Решение о выборе консервативного лечения необходимо принять в течение первых 4–6 часов от момента поступления пациента в клинику. На протяжении этого периода выясняются состояние гемодинамики, необходимость в проведении инфузионной терапии, наличие сопутствующих повреждений. Данные литературы подтверждают указанные сроки, отмечая отсутствие пациентов, нуждающихся в лапаротомии после 6 часов от поступления в стационар [4,26].
Гемоперитонеум. Наиболее точным предиктором выбора метода лечения травмы селезенки является объем гемоперитонеума, который ассоциируется с тяжестью кровопотери и гемодинамическим статусом пациента.
При анализе актов судебно-медицинского исследования 105 детей с политравмой и сопутствующим повреждением селезенки (n=33) установлено, что у пострадавших, возраст которых составлял 15,5 ± 1,9 года, объем гемоперитонеума равнялся 255,8 ± 179,1 мл, что соответствовало кровопотере примерно равной 7,4 ± 6,6 % ОЦК. Только у одного ребенка в возрасте 8 лет наблюдался отрыв селезенки от сосудов, и объем гемоперитонеума составил 1000 мл, а кровопотеря превышала 50 % ОЦК. У 92,8 % пострадавших внутрибрюшное кровотечение не превышало 15 % ОЦК, и только у 7,2 % оно соответствовало кровопотере, равной 26–28 % ОЦК. Следовательно, сопутствующие повреждения селезенки при летальной политравме не ассоциируются с массивным внутрибрюшным кровотечением и не угрожают развитием тяжелого геморрагического шока, за исключением редких случаев отрыва селезенки от сосудов, когда дети погибают на месте происшествия [20].
Объемы гемоперитонеума, по данным УЗИ, у детей (n=69) с успешным неоперативным лечением травмы селезенки представлены на рис. 17 [20].

Рис. 17. Зависимость объема гемоперитонеума (по данным УЗИ) от возраста детей с консервативным лечением травмы селезенки.
В соответствии с возрастной нормой массы тела и ОЦК для каждой группы установлено, что кровопотеря у детей в возрасте до 5 лет и от 5 до 7 лет составила приблизительно менее 15 % ОЦК, от 8 до 10 лет, от 11 до 13 лет и от 14 до 17 лет – менее 10 % ОЦК.
Указанные объемы гемоперитонеума можно рассматривать как абсолютно безопасные для неоперативного лечения.
Установлено, что у 87,5 % детей с неоперативным лечением травмы селезенки объем гемоперитонеума не превышал 500 мл и только у 12,5 % колебался от 500 до 700 мл. При этом максимальная кровопотеря составляла 27 % ОЦК.
Таким образом, клинически значимой закономерностью травмы селезенки у детей является отсутствие массивных внутрибрюшных кровотечений, эквивалентных тяжелому геморрагическому шоку. Наличие крови в брюшной полости при травме селезенки не является надежным прогностическим фактором, определяющим выбор тактики лечения.
Состояние гемодинамики. Гемодинамический статус соответствует объему кровопотери. Для определения тяжести гиповолемического шока в зависимости от объема кровопотери целесообразно пользоваться 4-степенной классификацией (Advanced Trauma Life Support Classification of Shock) [3].
- 1 степень: потеря 15% ОЦК или менее не имеет клинических признаков кровопотери, кровяное давление на нормальных цифрах, нет нарушений на уровне капиллярного кровотока. Возможно увеличение частоты пульса на 10-20%.
- 2 степень: потеря 20-25% ОЦК, при которой основным клиническим проявлением является ортостатическая гипотензия – снижение систолического А/Д на 10-15 мм.рт.ст. Тахикардия до 150 в минуту. Одышка до 35-40 в минуту. Диурез более 1 мл/кг/час.
- 3 степень: потеря 30-35% ОЦК соответствует умеренному или компенсированному шоку: холодные кожные покровы, симптом «бледного пятна», частота пульса 150 в минуту и более, артериальная гипотензия в положении лежа на спине. Падение систолического АД ниже 100 мм.рт.ст. Диурез менее 1 мл/кг/час. Увеличение возрастных значений индекса шока.
- 4 степень: потеря более 40% ОЦК соответствует тяжелому или декомпенсированному шоку: холодные кожные покровы, резкая бледность, мраморность кожи, нарушение сознания вплоть до комы, отсутствие пульса, падение АД.
Неоперативное лечение повреждений селезенки возможно и безопасно при 1-2 степени шока и при 3 степени при положительной реакции на инфузионную терапию, которая проявляется в снижении частоты пульса, повышении АД, изменении окраски кожи, нормализации диуреза, улучшении значений индекса шока.
Протокол жизнеобеспечения Комитета травмы Американской коллегии хирургов (ATLS), предусматривает инфузию раствора Рингера в объеме до 40 мл/кг и цельной крови 20 мл/кг. Указанная методика стабилизации гемодинамики сегодня считается общепринятой и выполняется у всех детей с травмой селезенки, осложненной внутрибрюшным кровотечением и гипотензией [5,10,27,28].
Схема. Травма селезенки

Родителям хорошо известны наиболее частые виды повреждений у детей, такие как ссадины, царапины, ушибы, растяжения, которые не являются опасными для жизни. Менее частыми, но потенциально более опасными являются повреждения органов брюшной полости, когда ребенок сталкивается с внешними факторами, обладающими большой энергией. Этот тип повреждения связан с автодорожными происшествиями, ездой на велосипеде, мотоцикле, при падении с высоты или контактных видах спорта. Повреждения органов брюшной полости могут сопровождаться быстрой потерей крови, что требует их ранней диагностики и транспортировки в специализированное лечебно-диагностическое отделение. Родители должны знать, что у ребенка с абдоминальной травмой могут отмечаться следующие признаки: боль в животе, усиление боли в животе при пальпации, напряжение передней брюшной стенки, боль, иррадиирущая в левое или правое плечо, кровь в моче, тошнота и рвота, быстрый пульс и снижение артериального давления. Наиболее опасными являются быстрый пульс и снижение кровяного давления, которые свидетельствуют о кровотечении в брюшную полость, что требует экстренной госпитализации ребенка в хирургический стационар. Если показатели гемодинамики не стабилизируются после переливания препаратов крови и жидкости, то ребенку показано хирургическое лечение. При стабильных показателях кровяного давления и пульса пациенту выполняется УЗИ и КТ исследование органов брюшной полости, от результатов которых будет зависеть тактика дальнейшего лечения ребенка.
Не применяется.
Доступ к комментариям ограничен 😔
Чтобы посмотреть комментарии других врачей и поделиться своим мнением, пожалуйста, войдите на Medpoint